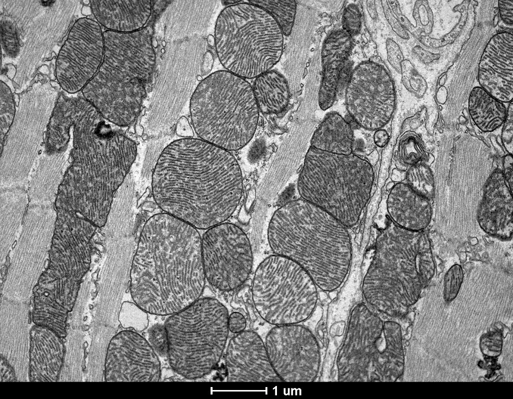
Cardiomiócito (célula muscular cardíaca) de camundongo, onde são observados perfis de sarcômero (unidades contráteis) e numerosas mitocôndrias.
Equipamento: Microscópio Eletrônico de Transmissão Tecnai G2-12 – Spirit Biotwin FEI – 120kV
Imagem cedida por Hermann Alecsandro Rodrigues, Marina Cruz e Cristina Guatimosim Fonseca, Departamento de Morfologia, ICB, UFMG.

