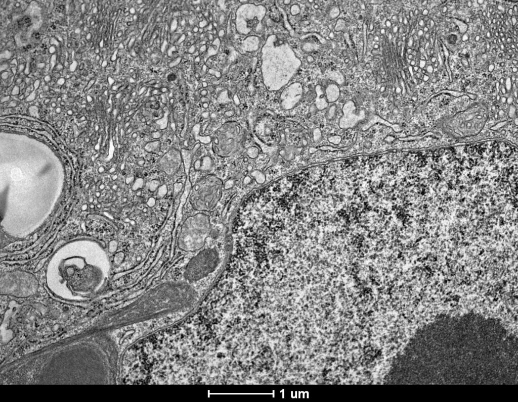
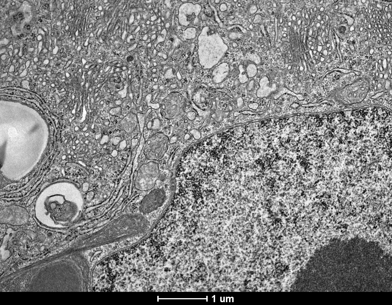
Imagem da ultraestrutura de parte da célula de folha jovem de Anthurium, mostrando vesículas carregadas de polissacarídeos brotando do Golgi.
Equipamento: Microscópio Eletrônico de Transmissão Tecnai G2-12 – Spirit Biotwin FEI – 120kV
Imagem cedida por Elder Antônio Sousa e Paiva, Departamento de Botânica, ICB, UFMG

