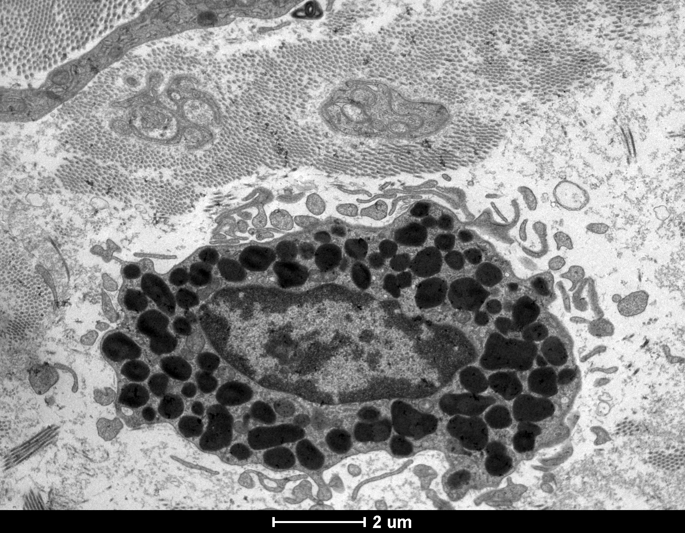
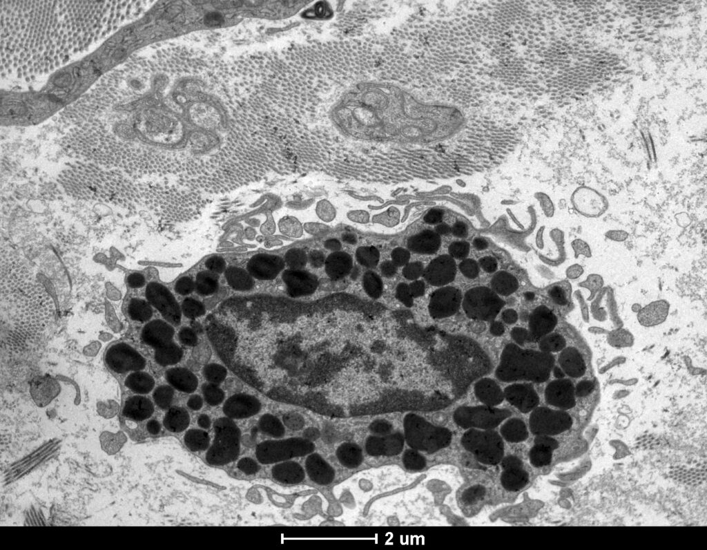
Mastócito no tecido conjuntivo da mucosa intestinal de paciente com doença de Chagas.
Equipamento: Microscópio Eletrônico de Transmissão Tecnai G2-12 – Spirit Biotwin FEI – 120kV
Imagem cedida por Débora d’Ávila Reis, Departamento de Morfologia, ICB, UFMG.

